Search Videos and More
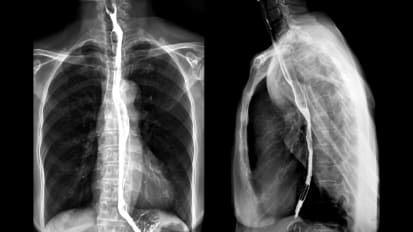
New Targeted Treatments Emerge for Gastric and Esophageal Cancer
For years, patients with advanced forms of gastric and esophageal cancer have had relatively few treatment options.New Research from Dana-Farber Brigham Cancer Center and Memorial Sloan Kettering Cancer Center Finds that Radiation Can Be Safely Omitted in Select Patients with Locally Advanced Rectal Cancer
New data led by researchers at Dana-Farber Brigham Cancer Center and Memorial Sloan Kettering Cancer Center (MSK) and featured in the 2023 American Society of Clinical Oncology (ASCO) Annual Meeting press program and simultaneously published in?The New England Journal of Medicine (NEJM)?and the Journal of Clinical Oncology today indicates that some patients with locally advanced rectal cancer with tumors that respond to chemotherapy can safely forego radiation before surgery.Clinical Trial Shows That Adding Bevacizumab to Targeted Drug and Chemotherapy Produces Striking Activity Against HER2-Positive Metastatic Gastroesophageal Adenocarcinoma
Long-term results and ctDNA correlatives for CAPOX BETR: A multi-center phase II trial of capecitabine, oxaliplatin, bevacizumab and trastuzumab for previously untreated HER2 positive metastatic gastroesophageal adenocarcinomaA Common Cancer at an Uncommon Age
Colorectal cancer among young people is increasing globally and rapidly. Experts expect it to become the leading cause of cancer death in individuals aged 20-49 in the U.S. by the year 2030.Studies of Novel Therapeutic Approaches Highlighted During Colorectal Cancer Awareness Month at Dana-Farber
Colorectal cancer is the 3rd most common cancer among men and women of all ages in the US and is on track to be the leading cause of cancer death in adults under 50 by 2030.Immunotherapy With Two Novel Drugs Shows Activity in Colorectal Cancer
A combination of two next-generation immunotherapy drugs has shown promising clinical activity in treating patients with refractory metastatic colorectal cancer, a disease which has not previously responded well to immunotherapies, according to a Dana-Farber Cancer Institute researcher.Online Testing Tool Identifies People Likely to Benefit from Genetic Testing for Inherited Risk for Certain Cancers
An online tool developed by researchers and physicians at Dana-Farber Cancer Institute can accurately and rapidly identify people who should undergo testing for inherited genetic changes that raise the risk of developing certain cancers, a new study shows.Young-Onset Colorectal Cancer Center Gut Instincts Series: Best Practices for Symptom Management
Dana-Farber’s Young-Onset Colorectal Cancer Center's Gut Instincts series continued on Tuesday, January 25 with an educational workshop on Best Practices for Symptom Management.Young-Onset Colorectal Cancer Center Annual Forum Research Keynote
At the Young-Onset Colorectal Cancer Center's third annual Patient and Family Forum, a Research Keynote lead by Jonathan Nowak, MD, PhD and Benjamin Schlechter, MD, discussed immunotherapy and CAR-T cell therapy in young-onset colorectal cancer.Dana-Farber Researchers Present Findings at 2022 ASCO Genitourinary Cancers Symposium
Dana-Farber Cancer Institute researchers presented important research studies during the 2022 ASCO Genitourinary (GU) Cancers Symposium, that took place from February 17-19, both virtually and in-person in San Francisco.A Case of Mistaken Identity: Researchers Unmask Cellular Source of Barrett’s Esophagus
Two recent studies by Dana-Farber Cancer Institute scientists correct a longstanding misconception about the origins of Barrett’s esophagus, and in doing so may point to new avenues of treatment or prevention to lower the risk of esophageal cancer.Survival Similar for Younger and Older Patients with Metastatic Colorectal Cancer, Study Finds
Even though young patients with metastatic colorectal cancer tend to be more fit and receive more intensive treatment than older patients, both groups survive for roughly the same amount of time, according to a new study by Dana-Farber Cancer Institute investigators.